
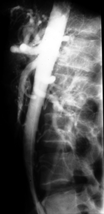
Radiology of Abdomen, Pelvis, and Perineum -- Normal Anatomy Arteriogram
(Lateral)
The Pennsylvania State University College of Medicine
This site has been accessed
times since October 13, 1998
Identify the following arteries -- celiac axis, superior mesenteric (SMA)
To view at full resolution right mouse click on image and select "view
image."
The Structural Basis of Medical
Practice
(Copyright Protected - L.A. Evey, Ph.D., D.S. Hartman, MD)
(Updated October 31, 1998)