
Radiology of Abdomen, Pelvis, and Perineum -- Normal Voiding Cystourethrogram
(Male)
The Pennsylvania State University College of Medicine
This site has been accessed
times since October 13, 1998
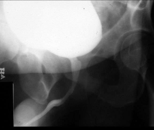
Note. Contrast has been placed within the urinary bladder via a urethral
catheter. The bladder is filled. The patient is turned slightly
to his right. The radiograph is exposed as the patient is urinating.
Identify -- bladder, prostatic urethra, bulbous urethra, penile urethra
To view at full resolution right mouse click on image and select "view
image."
The Structural Basis of Medical
Practice
(Copyright Protected - L.A. Evey, Ph.D., D.S. Hartman, MD)
(Updated October 31, 1998)