
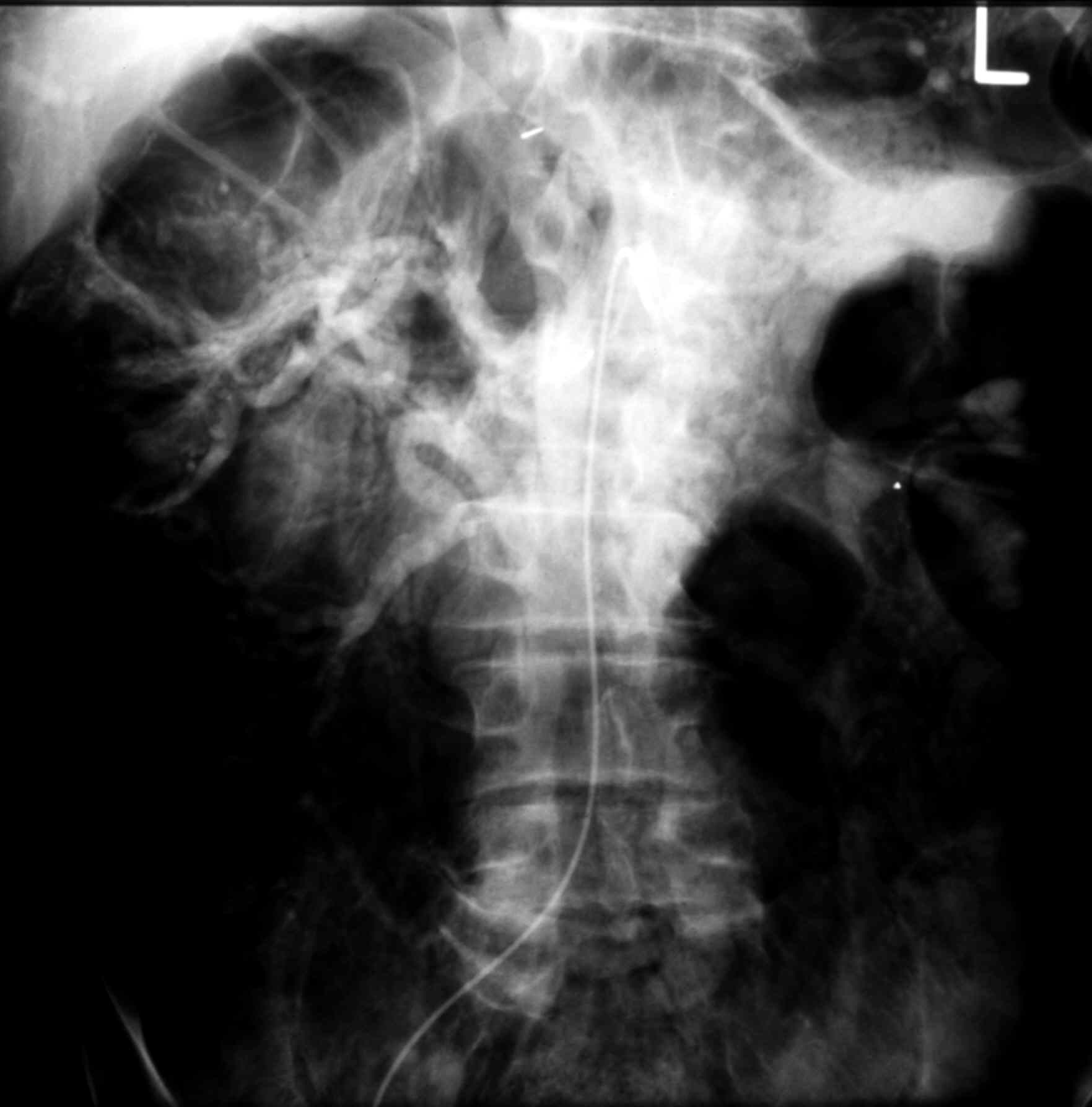
Radiology - MS I Normal Superior Mesenteric Arteriogram - Venous Phase
Structural Basis of Medical Practice -- Gross Anatomy
The Pennsylvania State University College of Medicine
Identify: Superior Mesenteric V., Ileocolic V., Portal VV.
To view at full resolution right mouse click on image and select
"view image."
Top of Page
The Structural Basis of Medical
Practice
The Pennsylvania State University
©2000
College of Medicine
Email: lae2@psu.edu