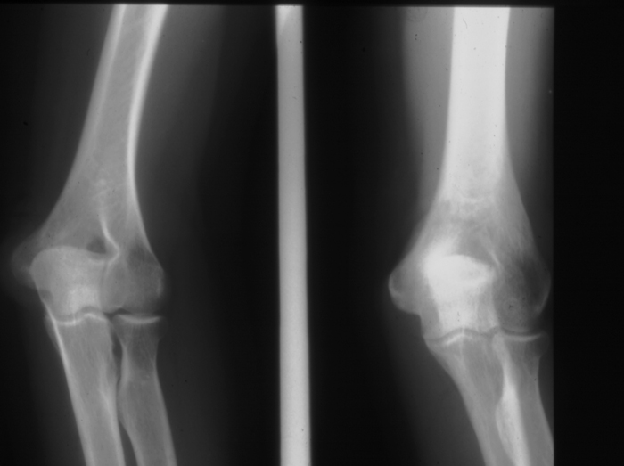
Radiology MS 28 - Normal Elbow
[ The Structural Basis of Medical Practice ]

Identify: humerus, radius, ulna, capitulum, radial head, olecranon
This site has been accessed times since August 26, 2000
Top of page
The Structural Basis of Medical Practice
The College of Medicine
of the The Pennsylvania State University
Email: lae2@psu.edu -
Powered by AMD, Linux,
and Apache Server