Physician Assistant Abdomen Pelvis Perineum Examination Radiology 2020

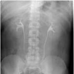
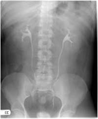
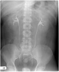
Radiograph #1

Urinary Tract
Identify: Minor calyx, major calyx, renal pelvis, ureter, left kidney, right kidney, ala sacrum.

Radiograph #2

Celiac Artery
Identify: Celiac trunk, common hepatic artery, proper hepatic artery, gastroduodenal artery, superior anterior/posterior pancreaticoduodenal artery, right gastoepiploic artery, left gastroepiploic artery, splenic artery, short gastric artery.

Radiograph #3

Transverse Abdomen
Identify: Liver, stomach, spleen, left crus diaphragm, inferior vena cava, aorta,
arrowbup Top arrowbdown Bottom
CeliacArteriogramBollard2020 CoronalAbdomenBollard2020 KidneyUreterBollard2020
arrowbup Top
Topic revision: r1 - 15 Oct 2020, LorenEvey
This site is powered by FoswikiCopyright © by the contributing authors. All material on this collaboration platform is the property of the contributing authors.
Ideas, requests, problems regarding Structural Basis of Medical Practice? Send feedback